Sind Überbeine beim Pferd harmlos oder stellen sie ein Problem dar? Im folgenden Text erfährst du alles über Ursachen von Überbeinen beim Pferd, ob sie ein Problem darstellen oder nicht und auf was du achten solltest, wenn du ein Überbein bei deinem Pferd bemerkst.
Was sind Überbeine beim Pferd?
Pferde mit Überbeinen zeigen knöcherne Zubildungen an den Röhrknochen der Beine. Sie können einseitig, aber auch an mehreren Gliedmaßen auftreten. Je nach Lokalisation werden sie in seitliche, hintere und tiefe Überbeine eingeteilt.
Die Ursachen von Überbeinen
Die Überbeine beim Pferd entstehen durch einen einmaligen oder wiederkehrenden Reiz. Das kann zum Beispiel ein Trauma (Tritt, Streichen, Verletzung) sein oder durch eine Gliedmaßenfehlstellung oder versäumte Hufbearbeitung. Ebenfalls können Faktoren, die den Knochenstoffwechsel beeinflussen, wie die Fütterung oder das endokrine (hormonelle) System Auslöser darstellen.
Der Verlauf
Im akuten Stadium treten Schwellung, Schmerz, Wärme und meist eine Funktionseinschränkung (Lahmheit) auf. Nach dem Abklingen der akuten Entzündung ist die Schwellung augenscheinlich erstmal kleiner, allerdings muss bedacht werden, hier ist nur die Weichteilschwellung weniger geworden. Die knöcherne Zubildung bleibt meist gleich oder ist sogar größer geworden.
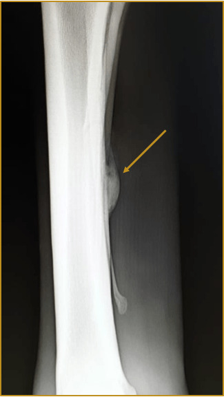
Die seitlichen Überbeine
Die seitlichen Überbeine befinden sich an der Vorderseite der Griffelbeine und entstehen durch die Reizung der Knochenhaut den Ansatzstellen der Bänder (z.B. zehenweite Stellung). Die Pferde zeigen häufig eine Stützbeinlahmheit, die auch Remontenkrankheit genannt wird. Sie können aber auch durch einen Schlag entstehen.
Die hinteren Überbeine
Die hinteren Überbeine liegen an der innen Seite der Griffelbeine, sie können die Sehnen und den Fesselträger reizen und so eine Lahmheit auslösen. Diese entstehen eher durch eine wiederkehrende Belastung.
Die tiefen Überbeine
Die tiefen Überbeine befinden sich am Ursprung des Fesselträgers – leider sind die sehr versteckt, sind schwer zu erkennen und verursachen eine chronische Lahmheit.
Weitere knöcherne Zubildungen können aufgrund eines Griffelbeinbruchs entstehen oder der Schienbeinkrankheit. Letzteres tritt häufig bei jungen Vollblütern im Rennsport auf. Durch das intensive Galopptraining wird das noch nicht fertige Skelettsystem stark belastet, dies versucht sich dieser Belastung anzupassen und so steht die Bildung dieser Zubildung im direkten Zusammenhang mit dem Training.


Diagnostik von Überbeinen
Je nach Lokalisation kommen verschiedene Untersuchungsmethoden in Frage:
- Lahmheitsuntersuchung
- Leitungsanästhesie
- Röntgen
- Ultraschall
Rehabilitation
Das wichtigste ist die Auslöser abzustellen, das heißt Training, Management und Fütterung müssen überprüft werden! Gliedmaßenfehlstellung sollten mit einer angemessenen Hufbearbeitung korrigiert werden, Fütterungsfehler, wie Mangelzustände oder Inbalancen von Kalzium und Phosphor müssen verbessert und das Training mit einem sinnvollen Reha-Programm in Absprache mit den Therapeuten wiederaufgenommen werden.


Nächste Live-Runde: Herbst 2026
Trainingsplanung aus medizinischer Sicht
Der Kurs wurde bereits von 2.047 Pferdemenschen erfolgreich absolviert und auf Basis derer Feedback stetig weiterentwickelt!
Überfordere ich mein Pferd? An welchen Tagen soll ich was und wie viel machen? Wie kann ich ohne viel Equipment sinnvoll trainieren? Wie gestalte ich das Aufbautraining nach einer Pause? — All das beantworten wir im Kurs.
Lass dich unverbindlich für den nächsten Kursstart vormerken und sichere dir einen Gutscheincode.
An den nächsten Kursstart erinnern lassenÜberbeine beim Pferd: Therapeutische Möglichkeiten
Die akute Entzündung muss behandelt werden, erst mit Kälte, Ruhe und entzündungshemmender Mittel, sei es lokal als Salbe oder Injektion an das Überbein oder mit Hilfe einer Paste ins Maul oder einem intravenösen Medikament. Die seitlichen Überbeine haben eine gute Prognose und nach der vollständigen Verknöcherung sind die Pferde in der Regel lahmfrei. Die hinteren und tiefen haben eine schlechtere Prognose. Eine Möglichkeit ist sie chirurgisch intraoperativ zu entfernen, allerdings kommen viele Überbeine trotz OP zurück und sind manchmal sogar im Anschluss größer.
Häufige Fragen
Pferde mit Überbeinen zeigen knöcherne Zubildungen an den Röhrknochen der Beine. Sie können einseitig, aber auch an mehreren Gliedmaßen auftreten. Je nach Lokalisation der Überbeine werden sie in seitliche, hintere und tiefe Überbeine eingeteilt.
Die Überbeine beim Pferd entstehen durch einen einmaligen oder wiederkehrenden Reiz. Das kann zum Beispiel ein Trauma (Tritt, Streichen, Verletzung) sein oder durch eine Gliedmaßenfehlstellung oder versäumte Hufbearbeitung. Ebenfalls können Faktoren, die den Knochenstoffwechsel beeinflussen, wie die Fütterung oder das endokrine (hormonelle) System Auslöser für Überbeine darstellen.
Bei einem Überbein stellt der Tierarzt zunächst mittels Lahmheitsuntersuchung, Röntgen und Ultraschall eine genaue Diagnose. Die akute Entzündung wird mit Kälte, Ruhe und entzündungshemmenden Medikamenten behandelt. Entscheidend ist jedoch, die eigentliche Ursache – wie Huf-Fehlstellungen, Fütterungsfehler oder falsches Training – zu finden und abzustellen, um eine dauerhafte Heilung zu ermöglichen und die Lahmheit zu beenden.
Überbeine bei Pferden sind knöcherne Zubildungen an den Röhrbeinen. Sie können unproblematisch sein, aber auch ernste Lahmheit auslösen!
Die Stallgemeinschaft, die du dir immer gewünscht hast
Die KKP Welt
3 Tage kostenlos testen — starte sofort und überzeuge dich selbst.
Fundiertes Wissen, regelmäßige Live-Events, eine Community die dich versteht — und zahlreiche Kurse inklusive. Über 760€ Kurswert und alle KKP Webinare ohne Aufpreis.
3 Tage kostenlos testen






